Акция!!! Скидка на профессиональную гигиену полости рта 20%!!! *
*В акции участвуют не все доктора клиники.
*В акции участвуют не все доктора клиники.
Современные безметалловые конструкции из диоксида циркония представляют собой инновационное решение для восстановления жевательной функции и улучшения внешнего вида зубов. Этот материал обладает высокой прочностью, долговечностью и эстетичностью, что делает его идеальным выбором для замены отсутствующих или восстановления поврежденных зубов. Лечение с использованием безметалловых конструкций из диоксида циркония не только восстанавливает функциональность зубов, но и способствует созданию омолаживающего эффекта. Зубы, восстановленные таким образом, выглядят естественно и привлекательно, что улучшает общий внешний вид улыбки и лица. Благодаря передовым технологиям и материалам, лечение с использованием безметалловых конструкций из диоксида циркония становится доступным и эффективным способом улучшить здоровье и красоту зубов.
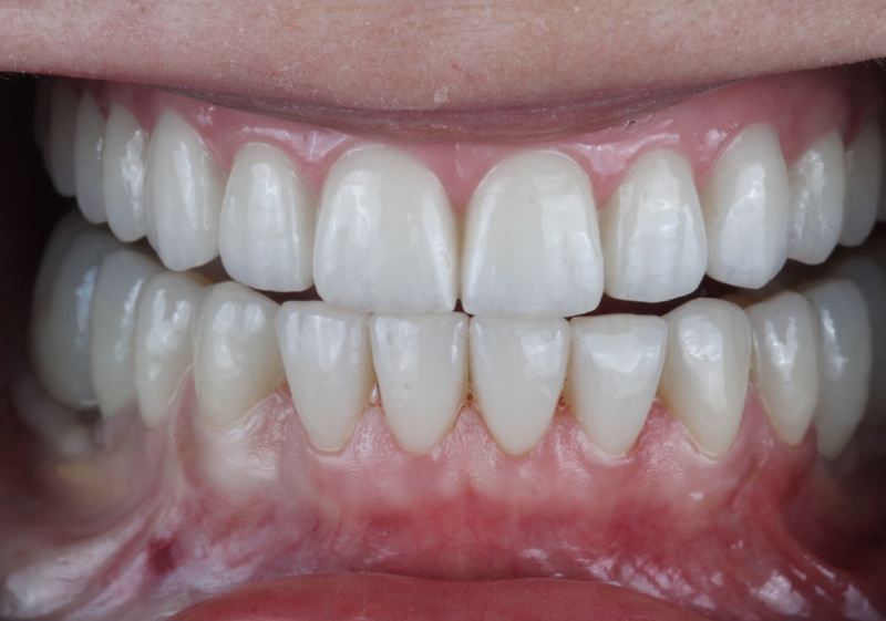
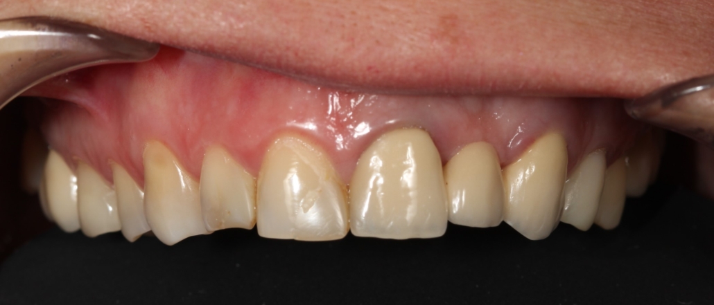
Недавно в нашу клинику «Дентал Гарант» обратилась пациентка с заметной стираемостью передних зубов и неудовлетворительным оттенком, который ей не нравился. Вместе мы нашли идеальное решение – реставрации изготовлены из диоксида циркония, который не только великолепно имитирует естественный вид зубов, но и обеспечивает высокую прочность и долговечность. Результат просто потрясающий! Уверен, что эстетический вид и долговечность этих реставраций порадуют пациентку на долгие годы.
Пациент обратился с жалобами на неудобство пользования съемными протезами на верхней и нижней челюсти. После обследования обнаружена значительная атрофия костной ткани. Это требовало ее восстановления. Нами произведена костная пластика с последующей установкой имплантатов Nobel. Лечение производилось в несколько этапов. На каждом этапе пациент был реабилитирован временной конструкцией. Т.е. ни дня не был без зубов . Окончательные мостовидные протезы выполнены из металлокерамики и являются условно-съемными.
То есть врач может их снять для проведения гигиены и тут же зафиксировать на место. Пациент самостоятельно такие конструкции снять не может.
Передние зубы восстановлены цельнокерамическими коронками и винирами E-max. В боковых участках монолитные коронки из диоксида циркония на имплантатах.
На на рентгене кость до «наращивания » и имплантации и после.
Фото во время операции. Эта операция обязательно выполняется с использованием увеличения. Таким образом значительно уменьшается шанс повредить важные анатомические структуры и повысить благоприятный прогноз.
Имплантация Nobel, костная пластика, пластика десны, временные реставрации, отработка соотношения зубных рядов и, наконец, постоянные реставрации из самого прочного и биологически иннертного материала. Надёжность и эстетика на долгие годы.⠀
Пациентка обратилась с жалобой на износ старых съёмных протезов, одновременно рассказав, как они её уже буквально «замучили» — натирают и ломаются постоянно, и вкуса пищи не чувствуется. После проведенного обследования мы предложили два варианта несъемного протезирования . Оба с использованием имплантатов. Первый-классический подразумевал необходимость «наращивания» кости. Второй ,в котором имплантаты устанавливались под углом позволял избежать костных подсадок. Конечно же, пациентка выбрала второй вариант, доверяя нашему опыту. Вот что получилось в итоге.
Многие пациенты обращаются к нам с жалобами на повышенную чувствительность зубов , предполагая что в этих зубах появился кариозный процесс. На самом деле такая чувствительность может иметь место и без кариеса ,на практически здоровом зубе. Обусловлена она тем, что в силу различных причин в результате «ухода» десны происходит обнажение чувствительной, лишенной эмали пришеечной части зуба . Чаще всего такое состояние называется рецессией десны. Во многих случаях проблему можно решить современными методами пластики десны.Но всегда необходимо помнить, чем раньше пациент обратится к доктору, тем больше шансов на полное закрытие рецессии и длительное сохранение полученного результата.
Обстоятельства бывают разными и не всегда человек может влиять на них. Иногда обстоятельства приводят к очень сложным ситуациям. Наша задача помочь, если есть такая возможность.
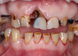
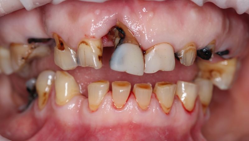
В исходной ситуации хронический пародонтит тяжелой степени в области оставшихся зубов сочетался с множественными осложнениями кариозного процесса и отсутствием большей части зубов.
Проведено удаление всех зубов с одномоментной установкой имплантатов на верхнюю и нижнюю челюсти. По традиции мы не позволили пациенту остаться без зубов, поэтому временные «зубы» были установлены уже на следующий день после имплантации, а через 6 месяцев улыбка была преображена с помощью мостовидных протезов из диоксида циркония.
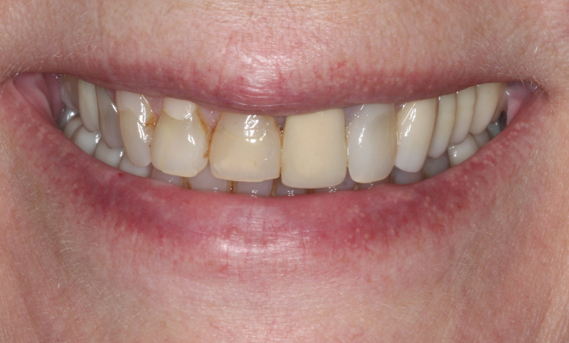
«Как мне надоели мои желтые зубы,хочу белые и красивые». Мы часто слышим эту фразу от наших пациентов, и готовы помочь им в осуществлении этих пожеланий. С одной стороны все просто: берем и изготавливаем реставрации светлых тонов. Но если пожелание пациента оттенок «bleach»? Есть риск того,что зубы будут выглядеть как санфаянсовые изделия или «подушечки орбит». И только кропотливая работа команды ортопеда и зубного техника позволяет получить пациенту гармоничную улыбку и преобразиться.
В этом примере в переднем отделе были изготовлены реставрации из диоксида циркония с покрытием керамикой. В боковых участках проведена имплантация и изготовлены монолитные диоксидциркониевые коронки Prettau.
Хронический пародонтит тяжелой степени часто является показанием к удалению зубов. Но отнюдь не является противопоказанием к имплантации. Как и в данной ситуации. Оставшиеся у пациента несколько зубов имели значительную подвижность и не могли являться опорой даже съемного протеза. Проанализировав ситуацию, совместно с пациентом было принято решение об одномоментном удалении оставшихся зубов на верхней челюсти и установке шести имплантатов. Временные «зубы» были зафиксированы на имплантаты на следующий день. С такими «зубами» пациент мог комфортно принимать пищу и улыбаться. Спустя шесть месяцев ,по завершению периода интеграции имплантатов временные акриловые «зубы » на верхней челюсти заменены на постоянные, металлокерамические.
Пациентке 62 года.Окончательные реставрации выполнены из максимально прочного материала — монолитного диоксида циркония Prettau.
Протезирование осуществлялось коронками из диоксида циркония.
Протезирование коронками Е-мах и коронками из диоксида циркония.
Пациентка обратилась с жалобами на затрудненное пережевывание пищи и эстетический дефект в связи с полным отсутствием зубов на верхней челюсти.
В соответствии с предварительно составленным планом проведена имплантация по методике all-on-four (установлены 4 имплантата). Временный акриловый несъемный протез был установлен уже на следующий день после имплантации.
Через 6 месяцев проведено постоянное протезирование зубов. Постоянный мостовидный протез изготовлен из диоксида циркония и армирован титановой балкой для максимальной прочности.
Восстановление всех зубов верхней челюсти реставрациями из диоксида циркония
Тотальное протезирование при повышенной стираемости. Установлено несколько имплантатов. Проведена костная пластика и пластика десны. На время лечения и приживления имплантатов были установлены временные реставрации, таким образом пациентка ни дня не оставалась без зубов.
Постоянные реставрации изготовлены из высококачественной керамики.